관절염, 부상 등을 포함한 많은 일반적인 문제로인해 발가락에 통증을 느낄수 있습니다. 이는 걷는데 불편하고 통증을 야기합니다.
특히나 발은 체중의 1.5배에 달하는 하중을 견디고 있습니다.
특히 엄지발가락이 하중의 60%정도를 견디고 있기때문에 가끔씩 엄지발가락통증이 생기곤 합니다.
오늘은 엄지발가락통증의 원인과 예방법에대해 알아보겠습니다.

엄지 발가락 통증 원인
골관절염


골관절염은 연골이 마찰로인해 마모되어 관절끼리 부딪히는 일종의 관절염입니다.
골관절염이 발가락에 발생하면 가장 흔히 엄지발가락에 발생합니다.
시간이 지나면 엄지발가락의 골관절염으로 인해 연골이 녹고 관절끼리 서로 부딪히게 됩니다.
이때 엄지발가락 통증이 생길 수 있습니다.
뼈 박차 라고 불리는 뼈 돌출부가 생길수도 있습니다.
이 뼈 박차는 엄지발가락의 움직임을 제한시킬수도 있습니다.
통풍


통풍은 관절염의 한 종류입니다. 관절에서 요산이 빠져나가지못하고 과도하게 축적될때 생깁니다.
바람에도 고통을 느낀다하여 이름이 통풍입니다. 주로 중년남성에게 자주 발병하는 질환입니다.
요산은 원래 소변으로 체내에서 배출되는 노폐물입니다.
이 노폐물이 빠지지않고 쌓이면 작은 결정으로 변할 수 있습니다. 이 결정이 관절에 발생하면 심한 통증을 느끼게 됩니다.
대게 통풍의 첫증상은 엄지발가락에서 시작합니다.
만약 엄지발가락통증이 심하다면 통풍을 의심해볼 수 있습니다.
염좌


염좌만으로 엄지발가락통증이 느껴질 수 있습니다.
엄지발가락의 충격등에 의해 주변근육이 놀랐거나 인대가 늘어나거나 찢어졌을때 발생합니다.
흔히 삐었다라고 많이들 부릅니다.
엄지발가락이 구부려진상태에서 강한 압력을 받으면 생길수도 있습니다.
엄지곶 (무지외반증)


엄지곶은 엄지발가락 뼈가 바깥으로 휘었을때 발생합니다. 이는 엄지발가락 통증과 붓기를 유발할 수 있습니다.
점점 엄지발가락이 2번째 발가락쪽으로 휘어갑니다.
엄지곶이 심하면 신발을 신거나 걷기가 어려울수도 있습니다.
특히 발가락 주위가 단단한 신발을 자주신는사람들에게 발병합니다.
주로 하이힐 병으로 불리기도 하며 높은 굽을 신어서 발가락에 무리를 주기때문에 생깁니다.
종자골염증


종자골염증은 엄지발가락을 과다 사용으로 인한 종자골에 염증이 생기는것입니다.
종자골은 엄지와 근건속에 있는 작은 뼈로 엄지발가락을 움직여주는 도르레 역할을 합니다.
발병의 주된 원인은 과도한 활동입니다.
언덕을 오르거나, 빨리걷기를 자주할경우 엄지발가락쪽에 압력이 가해지고 이는 종자골염증을 유발할 수 있습니다.
당뇨병


당뇨병환자에게 올수있는 당뇨병성 신경증이 엄지발가락통증의 원인일수도 있습니다.
당뇨가 있다는것은 혈중 당수치가 높다는것을 뜻합니다.
이는 혈액을 찐득하게만들고 혈액순환을 느리게 만들 수 있습니다.
노폐물이나 당들이 발가락 끝같은 말단부 혈관에 쌓일 수 있는데 이는 통증으로 이어지기도 합니다.
보통 엄지가 차가워지고 저린느낌과함께 엄지발가락통증이 옵니다.
만약 내버려둔다면 최악의경우 절단까지 해야할 수 있으니 병원에 방문하시길 바랍니다.
진단

엄지발가락통증의 원인을 찾기위해 의사는 간단한 검사와 함께 생활 습관이나 최근 부상등에 대해 물어볼것입니다.
그리고 엄지발가락을 위아래로 구부려보고 뼈 박차와 부종이 있는지 확인할 것입니다.
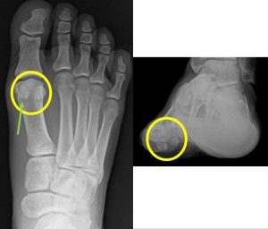
필요에 따라서는 x-ray를 이용할 수도 있습니다. 통증의 원인에 따라 추가 검사가 필요할수도 있습니다.
치료


치료는 엄지발가락통증의 원인에 따라 다릅니다.
대부분의 의사들은 비 스테로이드성 항염증제 같은 진통제를 권할것입니다.
이 약물은 엄지발가락의 붓기를 가라앉히는데 도움이 될 수 있습니다.
몇몇 의사들은 염증을 줄이기위해서 스테로이드를 처방 할 수도 있습니다.
생활 습관도 변화해야 합니다.
만약 자신이 높은 하이힐을 신고다니다가 엄지발가락통증이 생기면 제일 먼저 해야할것은 하이힐을 신지 않는것입니다.
그리고 자신이 스포츠나 격한 운동을 하다가 엄지발가락통증이 생기면 조금 자제해야할 필요가 있습니다.
일부경우에는 높은 체중때문에 엄지발가락통증을 호소할수 있습니다.
이는 체중을 줄이면 금방 호전됩니다.
통풍이나 골관절염같은 특정 원인은 좀 더 복잡한 치료가 필요할 것입니다.
물리치료를 병행하고 최후의 수단으로 수술을 권할수도 있습니다.
예방


엄지발가락통증의 원인들을 예방하는 팁들이 있습니다.
- 발가락부위가 너무 단단한 신발 피하기
- 적당한 체중 유지
- 엄지발가락에 과도한 긴장을 주는 운동 피하기
- 부상의 위험이 있을경우 단단한 신발 신기
- 하이힐이나 높은굽의 신발 피하기
병원에 가야할 때

가벼운 통증은 시간이 지나면 대부분 자연적으로 치유가 됩니다.
하지만 엄지발가락통증이 3일이상 지속되거나 통증이 더욱 악화되면 심각한 문제일 가능성도 있으므로 병원에 방문하는것을 추천합니다.
요약
엄지 발가락 통증은 외상이나 압박에 의한것일수도 있습니다. 대부분 가벼운 원인들이며 쉽게 호전됩니다.
일부 증상들은 휴식과 진통제로 해결할 수 있습니다. 하지만 골관절염이나 통풍같은 일부 경우에는 스스로 호전되지 않으므로 병원에 방문해야합니다.
적절한 신발과 적당한 운동은 엄지발가락통증을 예방하는데 큰 도움이 됩니다.